Kissing Spines in Horses

Veterinary Medicine Has Evolved Its Definition, Diagnostics, Treatment Protocols and Rehabilitation Techniques

Kissing Spines, more scientifically known as impingement of the dorsal spinous processes, is a condition that has grown in relevance and impact throughout the last two decades with improved diagnostics and education. It’s hard not to feel a horse’s pain after taking just one look at an x-ray that indicates Kissing Spines. The condition can diminish athletic performance and render a horse unusable in severe cases, while other cases with the ugliest x-rays can experience no pain or performance implications. While still shrouded in some level of mystery, Kissing Spines is known to be conformational and most likely genetic. When spinous processes are conformationally close together they will inevitably contact, with that continual contact causing the modeling changes that are classically seen on radiographs.

What we know of Kissing Spines is its mechanism within the equine body, the common clinical signs exhibited by affected horses, an ever-evolving list of treatment modalities currently in use and critical management protocols that can keep afflicted horses comfortably thriving and in competition.

“I’ll tell you that there have been countless horses for eons of years that have been wasted because nobody knew the back was the issue, and nobody knew how to fix it.”
— Cliff Honnas, DVM, DACVS, Texas Equine Hospital

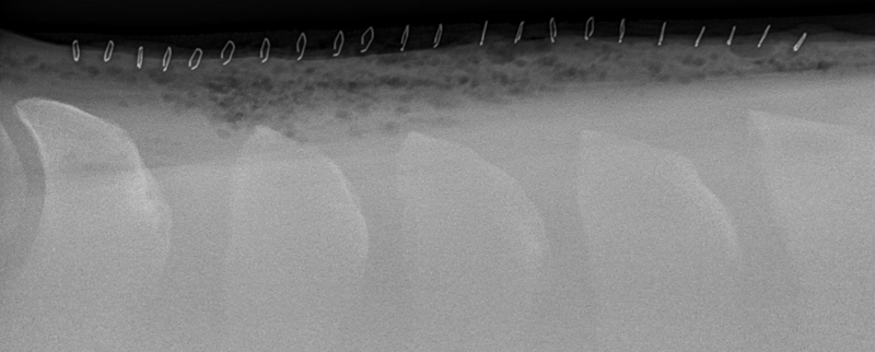
SEVERE CASE OF KISSING SPINES SEEN BY X-RAY

Overriding dorsal spinous processes
X-RAY COURTESY OF VIRGINIA EQUINE IMAGING

Defining Kissing Spines

Though Kissing Spines can be seen clearly in diagnostic imaging, truly understanding the nuances of the condition and how it can vary patient-to-patient is where things become less well-defined. Dr. Cliff Honnas, equine veterinarian, surgeon and founder of the widely respected Texas Equine Hospital in Bryan, Texas, is a sought-after authority figure in all things related to this condition, especially concerning its surgical treatment. “Kissing Spines is a condition where the dorsal spinous processes are too close together,” he explains simply. “These are the bones that make up the backbone of the horse directly underneath the saddle.” Normal horses should typically have a five millimeter or larger space between those bones, depending on the breed and size of the animal in question. In Kissing Spines cases, however, that space can be minimally to drastically narrowed until those bones are close together, touching or overriding.

Dr. Cooper Williams, a revered sport horse practitioner, certified instructor with the globally recognized ISELP (International Society of Equine Locomotor Pathology) and founder of Equine Sports Medicine of Maryland, sees a large number of high-level equine athletes impacted by Kissing Spines. “I’m typically seeing these cases elevated to me as a second, third or fourth opinion,” says Dr. Williams of the challenges that sometimes surround this condition. “I explain this condition to clients like this — every vertebra in the back region can be compared to a fence post standing vertically. The fence posts are all interconnected and between each one you have interspinous ligaments. Along the top, you have the supraspinous ligament that connects them all. Then you have muscles that attach to the sides of these spinous processes or fence posts. These fence posts are usually nicely spaced in the normal horse, but, in the case of Kissing Spines, they’re too close together or crowded right up against each other,” he says, painting a simple visual picture of an otherwise complicated condition.

While there are numerous conditions impacting the equine back, the diagnosis of Kissing Spines has increased fairly dramatically in recent years thanks to improved diagnostic techniques coupled with a greater focus on veterinary education. “Depending on who you choose to believe in the literature, Kissing Spines along with dorsal articular facet arthritis will account for 50 to 70 percent of orthopedic back problems,” says Dr. Kent Allen, sports medicine practitioner, founder of Virginia Equine Imaging, FEI Olympic-level veterinarian, current Vice President and Executive Director of ISELP and Chairman of the USEF (United States Equestrian Federation) Veterinary Committee. “The horse, which of course has a horizontal back as opposed to a human’s vertical back, doesn’t have disk problems like we do but rather has bony orthopedic problems that impact the way they bend, extend and jump, such as Kissing Spines and arthritis of the dorsal articular facets,” explains Dr. Allen. “In terms of Kissing Spines specifically, its location is most commonly from the base of the withers back to the thoracolumbar junction, from T16 back to L2-3. In contrast, arthritis of the articular area will often occur further back, about three inches forward to three inches behind the rear of an English Saddle.” While the general location and disease process have become more solidified, the clinical presentations exhibited by affected horses are wide-ranging and can create significant diagnostic and treatment challenges for veterinarians.

“The horse, which of course has a horizontal back as opposed to a human’s vertical back, doesn’t have disk problems like we do, but rather has bony orthopedic problems that impact the way they bend, extend and jump, such as Kissing Spines and arthritis of the dorsal articular facets.”
— Dr. Kent Allen, DVM, ISELP, Virginia Equine Imaging

Defining Kissing Spines

A condition where the dorsal spinous processes are too close together. Typically horses have about a five millimeter space between those bones; however, in Kissing Spines cases, that space is narrowed until those bones are close together, touching or overriding.

The Surgical Approach

While many cases can be treated medically with varying degrees of success — some minimal and some exceptional — surgical intervention can yield tremendous results for Kissing Spines cases. There are two different types of surgeries being performed for the condition.

Ongoing Management

Whether surgery is a viable option or not for a Kissing Spines case, there are ongoing management considerations that can directly impact the horse’s comfort and ability to perform and compete successfully, including how one rides and warms up the horse.

Clinical Signs

As diagnostic capabilities and the pathological understanding of Kissing Spines have improved, common clinical signs of the condition have also been identified. At the same time, each horse’s pain tolerance and personality differ greatly, resulting in a widespread collection of symptoms that requires imaging to definitively diagnose. “One of the challenges in these cases is helping owners and trainers recognize that the horse may be really struggling and uncomfortable, even if they are not showing any lameness. Frequently, horses with back pain start showing subtle signs early on, and it is always my hope that we can learn to recognize these cases before the horse compensates and has a secondary injury,” says Dr. Melinda Story of Colorado State University’s College of Veterinary Medicine, a well-known performance horse veterinarian boarded in both surgery and sports medicine and rehabilitation, and also certified in both equine chiropractic care and acupuncture. The most common clinical sign that there may be trouble lurking in the back is behavioral changes. These shifts in behavior can range from subtle to dramatic and can present as horses becoming irritable or frantic when confronted with a situation that bends or stretches their back. For instance, barrel racing horses may become agitated in the alley, anticipating the pain they’ll feel when bending around a barrel. While headed to the first barrel, these horses are known to sometimes straighten and run past the barrel in an effort to avoid the movement that they know causes them pain. In addition to this example, constant swapping from the right to left lead and back again is another common sign that a horse is attempting to bring comfort to their back and failing to do so. Of course the most severe clinical sign of Kissing Spines and other back-related conditions is avoidance behavior or, in other words, bucking and throwing the rider. “When you look at a back x-ray on a standing horse with no rider, you may be seeing close dorsal spinous process space. The space is close or the bones are actually touching. Then, when you add 150 pounds or more with tack and rider, it can make the spine flex downward and those bones are really coming together now,” explains Dr. Honnas of how a rider can exacerbate the pain experienced by horses with Kissing Spines.

While the clinical signs of Kissing Spines can be ambiguous, Dr. Allen is quick to point out that not all horses with radiographic evidence of the condition display outward signs. “It's often a question of when this condition presents or if it presents. If we’re talking about a western pleasure horse or a horse that doesn’t ever jump over 2 feet 6 inches in its life, the animal may have Kissing Spines and never present. A look at the data on hundreds of horses with back pain revealed that the average age of presentation of back pain was about 6.5-years-old.”

While horses may be genetically predisposed to Kissing Spines and present clinical signs on an x-ray as early as 2-years-old, there are a great number of factors that go into determining if that horse will ever become clinical, including its level of training and specific discipline. Horses performing a sport that requires a high amount of flexing and bending of the back will oftentimes have increased odds of developing clinical symptoms of Kissing Spines in comparison to low-impact or more leisure-based sports — think of a cutting horse versus a horse primarily used on the trail. “A common situation is that we’ll see a horse come in for a pre-purchase exam, and since we’ll routinely do a back x-ray now, we’ll often see some degree of Kissing Spines,” says Dr. Honnas of a frequent and tough place that equine veterinarians find themselves in with potential buyers. “This could mean that space between those bones is reduced but very often not actually touching or overriding. We can also see horses that have tremendous Kissing Spines on an x-ray, but clinically are virtually normal and have no history of back pain. It makes it very difficult to decide on a pre-purchase exam what to recommend to the potential buyers in terms of their risk. This can be a top-end horse, doing its job well and with no disability. We’ll pick up Kissing Spines to some degree on the x-ray, and it’s impossible to state with certainty that horse’s risk of developing symptoms in the future.”

backexam

One of the critical first steps in identifying a Kissing Spines case is for a veterinarian to perform a comprehensive whole-horse examination. Dr. Kent Allen performs a back exam.
COURTESY PHOTO

Physical and Movement Evaluations

The critical first steps in identifying a potential Kissing Spines case, or any other back condition for that matter, is for veterinarians to perform a comprehensive whole-horse examination, then evaluate the horse’s movement and behavioral tendencies. “When we're doing a lameness or soundness evaluation, every horse gets their back and sacroiliac area palpated in a specific manner,” says Dr. Allen. This allows him and his team to get a valuable baseline to determine when they need to escalate their diagnostics or treatment options for that horse. As part of their clinical evaluations, Dr. Allen and his team like to see the horse lunged on both a firm and soft surface. In addition, they gain important insight by watching the horse under saddle, as long as there is no history of avoidance behavior and the horse has not attempted to throw its rider in the past. If there is a history of avoidance behavior, Dr. Allen will place a weighted surcingle on the horse to evaluate it for back pain without the risk of injuring a rider.

Dr. Williams and his team take a similar approach when confronted with a case that could be experiencing a condition of the back, including Kissing Spines. “I try to focus on the horse as a whole rather than zeroing in on just the suspected problem,” explains Dr. Williams of his whole-horse approach to diagnostics and treatment. “Seeing the animal as a whole allows me to put it all together and avoid jumping immediately to the possibility of Kissing Spines when something else entirely could be at play.” Dr. Williams and his team at Equine Sports Medicine of Maryland observe the horse moving in-hand, then on a lunge line as part of their physical and movement evaluation. “I don't like lunging as a form of exercise for a lot of these horses, but for diagnostic purposes, it's good because of its ability to highlight shape and movement. The normal horse should be shaped like a banana around the person lunging them. If they go into a counter-bend as they're being lunged, that usually belies the fact that their back could be an issue.” Dr. Williams also watches for the natural spring-like motion of a horse’s back as it’s lunging, rather than a straight and stiff board-like movement that could indicate back pain. Dr. Williams, like Drs. Allen, Story and Honnas, is cautious when it comes to observing the horse under saddle out of respect for the rider’s safety. “I like to watch the horse's behavior during the saddling process and as the rider gets on. I also make a point to look at the saddle in case there is any rocking, bridging or other issues that can be contributing to the horse’s signs and behavior.” Being a diplomate of the ACVSMR (American College of Veterinary Sports Medicine and Rehabilitation), a key component of Dr. Williams’ evaluation focuses on symmetry, specifically how the horse is using its body, especially in the neck, back and pelvis. “The symmetry of those structures and the muscling can tell you a lot about how long a horse has been having an issue. There can be a change in the muscling and by palpating, manipulating and doing certain mobility tests with the neck, back, pelvis and the limbs, I can better gauge the situation.” To help accomplish this, Dr. Williams uses a sternal lift to flex the horse, moving through each section of the back, including the thoracic, thoracolumbar junction and lumbar regions. He finishes by flexing, then extending the pelvis and performing a lateral motion that gently causes the horse to turn by placing a hand behind the withers on the opposite side of the back, then pushing the pelvic region to twist the horse away from himself. “For horses that have a problem, this method will highlight it,” he explains of the technique.

Blocking can be another tool sometimes used during a veterinary evaluation looking for back issues. Dr. Williams chooses not to block due to the proprioceptive nature of the muscles in question. “There are some people that will go in and put in anesthesia on either side of those areas and see how the horse does after that. One of the biggest reasons I don't do that is the muscles that directly line the spinous processes are called the multifidus muscles and are known to be proprioceptive, meaning they have a lot of nerve endings and dense fascial planes in them. I'm reluctant to go in and block in the back area because I don't want to affect the proprioceptive part of that horse's back. If you do that, you can change how that horse is exhibiting signs by changing the proprioception and not necessarily the pain,” he explains.

scanninghorse

Dr. Cooper Williams, performing an ultrasound, utilizes a combined imaging approach to evaluate Kissing Spines using both x-ray as well as ultrasound.
COURTESY PHOTO

Diagnostic Imaging

Following a thorough whole-body physical examination and a more specialized motion evaluation, the next step in a suspected case of Kissing Spines is to confirm the diagnosis with imaging. Drs. Honnas, Story, Williams and Allen are all significant proponents of the importance of those initial examinations prior to performing imaging. “I tell my clients, ‘I can x-ray your horse's back and look for things like Kissing Spines, but that could be just a tip of the iceberg,’ ” says Dr. Williams. “That comprehensive evaluation is absolutely necessary to form a complete picture.”

There are two primary diagnostic imaging methods that deliver the clearest picture — literally and figuratively — when dealing with a potential Kissing Spines case. “I teach combined imaging using x-ray and ultrasound to look at as much of the tissue as possible,” says Dr. Williams of his approach. While Kissing Spines can oftentimes appear clearly using x-ray alone, the use of this combined imaging approach delivers the most definitive diagnosis possible. “Ultrasound is the most sensitive tool to observe surface detail. It reflects off of bone. You can't see through it, but if the bone surface is uneven, it will tell you that. On an x-ray or a radiograph you can’t pick that up unless you get the perfect view,” says Dr. Williams of one reason he brings ultrasound into the equation. Another attribute of ultrasound is its ability to look at the supraspinous ligament, multifidus muscles and the facet joints, which are placed further down at the base of the spinous processes. “I talk about ultrasound surveys,” says Dr. Williams. “I don't just look with the ultrasound, then find something and walk away. I survey the back from the withers all the way back through the lumbar region. This gives me all of the information, and I can then better determine whether the horse has Kissing Spines alone, if the case is surgical and if there’s something else at play in addition to the Kissing Spines.”

Cooper Williams, VMD, DACVSMR, ISELP,
Equine Sports Medicine of Maryland

Kent Allen, DVM, ISELP,
Virginia Equine Imaging

Melinda Story, DVM, DACVS, DACVSMR, cVMA, CIVCA,
Colorado State University

Cliff Honnas, DVM, DACVS,
Texas Equine Hospital

Could Arthritis Be at Play?

With the prevalence of Kissing Spines increasing, Dr. Allen is quick to caution both practitioners and horse owners to consider the role that arthritis could be playing in the back. “There are horses that have Kissing Spines, horses that have arthritis of the articular processes and horses that have both,” he says plainly. Articular process osteoarthritis impacts the structures that are deeper into the back by two to three inches. This makes the imaging process both intricate and technical. Dr. Allen, like Dr. Williams, equates the diagnostic challenges of the back to an iceberg. While Kissing Spines may be the tip of the iceberg and easy to spot at the surface, significant problems could be lurking deeper beneath the surface, such as arthritis, requiring a much more concentrated look to properly diagnose and treat the horse.

HORSE “A” PRE-OP X-RAY

Shows Impingement of the Dorsal Spinous Processes

HORSE “A” IMMEDIATELY POST-OP X-RAY

Shows Corrected Dorsal Spinous Processes After Bone Reduction Procedure Performed by Dr. Cliff Honnas

HORSE “A” 3-YEAR POST-OP X-RAY

Shows Lasting Results from Bone Reduction Procedure Performed by Dr. Cliff Honnas

Medical Treatment Options

When diagnostic imaging has shown Kissing Spines and both a physical and motion evaluation have confirmed clinical signs, a first step in the treatment process will often include certain medical modalities prior to exploring a surgical option for more severe cases. “The key to all back treatment, no matter what the problem is, is to break the pain spasm cycle,” says Dr. Williams of the first place he goes in a horse’s treatment for Kissing Spines when they’re presenting with clinical signs. “It’s very often about that surrounding musculature where that pain goes into a spasm. Once that starts, it's hard to deal with.” Dr. Allen agrees and has a four-step protocol for treating Kissing Spines patients for longterm results. “We have to provide pain relief that’s going to last months,” he says of his goal. “First, as Dr. Williams mentioned, our priority is to break the pain cycle using tools like Shockwave, which is a very intense soundwave beam that hits and immediately down-regulates those pain receptors. We’ll do one to three Shockwave treatments depending on the degree of the problem and the results we see. In some cases, where it’s warranted, we’ll combine Shockwave with Mesotherapy, since we find the two to have a bit of a synergistic effect.” Mesotherapy is a pain suppression technique that can be very effective in the neck and back. “In the case of a horse with arthritis on the bottom of the joint, for instance, we may have a more difficult time penetrating with Shockwave but experience more success with Mesotherapy,” explains Dr. Allen of the protocol.

“Step two will be to develop a plan to start bringing the horse back,” continues Dr. Allen. “This is very similar to human medicine where physicians diagnose, break the pain spasm cycle and immediately develop a physical therapy plan.” While resting horses can contribute to pain reduction, further rest beyond a stage of approximately 30 days can be a significant detriment due to the loss of musculature that results from inactivity as well as the added weight accumulated by horses turned out on pasture for several months. “You've effectively made the problem worse for yourself when you go to bring that horse back,” says Dr. Allen emphatically. “Prescribing rest, especially stall rest, in these cases should be one of the last things we do as clinicians. If at all possible, I try to return the horse to work within the first 30 days.”

As a third step, Dr. Allen and his team turn to joint injections for both Kissing Spines and arthritis of the dorsal articular facet. “We guide the injection via ultrasound right down on top of the joint, then back up a couple of millimeters. We bathe the medication on the top of that joint to relieve inflammation. We do this because the joint is very small and difficult to get into.” While he and his team at Virginia Equine Imaging used cortisone for many years, they have now evolved to using primarily PRP (Platelet Rich Plasma) and sometimes alpha-2-Macroglobulin. “We’re seeing good results with these treatments not only having an anti-inflammatory effect for a period of time, but they actually tighten the joint as well, creating longer-term relief.”

Last in the four-step protocol would be the use of bisphosphonates on select cases for an anti-inflammatory effect in the bone at the cellular level. With much controversy surrounding the use of bisphosphonates, or rather the over-use of the drug class in young horses, veterinarians are increasingly quick to advocate for judicious use. “We have had excellent success with bisphosphonates in back cases,” Dr. Allen states. “The whole bisphosphonate argument is really out there right now, which I think is a good conversation to have in veterinary medicine,” adds Dr. Williams. “They've been abused, and people are giving them too frequently, though with some Kissing Spines cases, we have administered either Osphos® or Tildren® to help extend time in between treatments with direct injection.”

For non-surgical cases, these four modalities have become a time-tested protocol for Dr. Allen and his team, often providing months or years of relief for Kissing Spines cases. “For some clients surgery is never going to be an option,” says Dr. Honnas of the importance of sound medical options. “I only want to operate on the cases where I truly believe in my heart that Kissing Spines is the problem and surgery will provide a longterm solution.”

acupuncture

“I use acupuncture along with strengthening and mobilization to keep these horses comfortable and as part of a global approach using nutrition, integrative pain management and strengthening.”

Melinda Story, DVM, DACVS, DACVSMR, cVMA, CIVCA

Colorado State University

Equine acupuncture can not only be a first-line therapy but also part of a long-term management plan.

A Surgical Approach

While many cases can be treated medically with varying degrees of success — some minimal and some exceptional — surgical intervention can yield tremendous results for Kissing Spines cases. “There are two different types of surgeries,” explains Dr. Honnas. “The first is to do what’s called a minimally invasive interspinous ligament desmotomy.” In this procedure surgeons cut the ligaments that span the distance between the two dorsal spinous processes at each impinging space. The procedure is typically radiographically guided with two different ways of being performed. “One technique is to make an incision beside the backbone, a bit toward one side, then tunnel through the musculature and cut the ligament between the two impinging bones,” explains Dr. Honnas. “If there are multiple spaces, then the surgeon will drop back a bit, do the next one, then the next one and so on.” The other approach is to cut directly over the backbone by making a small stab incision, then tunnel down to the ligament between the bones and cut it. The interspinous ligament desmotomy is a surgery that Dr. Honnas does not perform but is quite familiar with. “My concern with this surgery is that there’s a ligament that spans between the bones in question. When you cut that ligament, all you're doing is cutting the soft tissue, basically performing a neurectomy, so the horse can't feel the pain where those bones are grinding,” he says. For the surgeon to successfully cut the ligament, the bones must have adequate space between them. “This surgery can have a place if there's enough space between those bones where the surgeon can actually cut that ligament, but very often there’s just no space there to work with. You can’t physically get between the bones to cut anything.” Another consideration when evaluating the appropriateness of this surgical option is identifying the severity of the case. The more the bones touch or override, the greater the likelihood that the ligaments have sustained considerable damage. “The interspinous ligaments actually degenerate,” explains Dr. Williams of these cases. “In some horses, you wouldn't even recognize these ligaments anymore because they've had so much trauma from this constant contact in that area.”

The second surgical option considered for Kissing Spines patients is a bone reduction procedure. Dr. Honnas is recognized as one of the foremost experts in the country at performing this procedure and garnering impressive long-term results for Kissing Spines patients.

“The bone reduction surgery that I do removes bone at each impinging space, then recreates a space between those adjacent bones,” says Dr. Honnas of the surgical method. While some practitioners prefer to perform this procedure on the standing horse, Dr. Honnas’ preference is to operate on these cases under general anesthesia laying left-side down. A primary reason for this preference is that the position of the horse alleviates the weight of the gut, so it no longer pulls the dorsal spinous processes closer together. “I pull them to the edge of the table, make an incision right on the midline and cut through the skin. I then cut through the dorsal spinous ligament (the ligament over the top of the backbone) and cut away the muscles on either side of the dorsal spinous processes,” he explains of his technique technique. “There’s no way to take away that bone without removing the ligament. Next, I cut the interspinous ligament that's between each dorsal spinous process, then using my right hand with a pair of bone-cutting forceps, I cut away on the bone that's behind each impinging space. I cut a piece, and I feel with my left index finger. I’m removing the interspinous ligament and the front edge of the backbone at each impending space.” It’s a gradual process where Dr. Honnas cuts, feels, cuts, feels and so on, being sure to trim up any rough edges on the bone as he goes. “When finished, I can get my index finger between the bones all the way down to where the space opens up again. Usually, they’re going to be pretty tight for about 1.5 to 2 inches, then open up naturally below that,” he says of the anatomy of the back following surgery.

In cases that have multiple impingements, Dr. Honnas drops back and repeats the process at each impingement. “I typically will operate three to four spaces through one incision before I drop back and make a second incision, leaving a space between the two, so I don't have one long incision.” A recent case at Texas Equine had a total of nine impingements, requiring three separate incisions that Dr. Honnas spaced three quarters to one-inch apart.

The number of bone reduction procedures that Dr. Honnas performs has risen dramatically in conjunction with improved diagnostics and veterinary familiarity of Kissing Spines. Performing roughly 145 of these procedures in the last year on horses from every corner of the country, Dr. Honnas and his team are known for their exceptional track record. “I tell my clients, if this is a confirmed case of Kissing Spines, then this surgery will fix your horse,” he says with confidence. He and his team have achieved a 90 percent success rate, allowing patients to go on to live and compete free of the pain they once endured as a result of Kissing Spines.

Management Considerations

For Horses with Kissing Spines

Certain adjustments can potentially improve the horse’s comfort and ability to perform and compete successfully.

  • Warm-ups - Tailor warm-ups to the individual horse’s needs and preferences.
  • Weather - Adjustments may be needed to properly prepare a horse’s muscles for work in cold weather.
  • Tack - Pay close attention to saddle and girth fit, as it can either help or hinder treatment or management.
  • Bodywork - Consider adding equine chiropractic care and acupuncture as part of your management plan.
  • Nutrition - Always vital to a horse’s overall health and wellness, diet can play a critical role in maintaining a healthy weight, laying a strong foundation and supporting a normal, healthy level of inflammation.

Ongoing Management Considerations

Whether or not surgery becomes a viable option for a Kissing Spines case, there are ongoing management considerations that can directly impact the horse’s comfort and ability to perform and compete successfully. “You need a good management plan,” says Dr. Williams emphatically. “It’s crucial for these horses and their ability to do their job and to do it without pain. This includes changing how you manage, ride and warm up the horse.”

Warm-ups seem like a fairly simple step in preparing a horse for work. In reality, warm-ups should be tailored to the individual horse’s needs and preferences to not only yield the best results but to ensure horses with conditions such as Kissing Spines are able to be ridden comfortably. “You have to adapt it to the individual horse,” confirms Dr. Williams. “For instance, I’ve seen enough horses to know that some just do better warming up at a canter rather than the traditional walk, trot, canter method. You have to be open to what the horse is telling you always.” In addition, making adjustments according to the weather is a vital piece of the equation. “In cold weather, consider putting the horse under a ceramic heat lamp ten to fifteen minutes ahead of riding to warm up the muscles,” he says as one method to prepare a horse’s muscles for the rigors of work.

While saddle fit won’t directly cause Kissing Spines, it can play a role in either helping or hindering treatment and management. “I’ll always look at both saddle and girth fit, as well as the behavior of the horse when it’s being tacked up,” says Dr. Williams of his assessments. “The saddle gets blamed for a lot more than it should, but with that said, it can exacerbate a lot of back issues like spinous process impingement, especially if a horse is changing its back muscling because it’s not using itself properly. If that’s the case, then saddle fit is going to change, and you need to keep up with that.”

Beyond considerations for weather and tack, two vital components to a successful management plan for Kissing Spines cases, and really most cases, is to assemble the right bodywork team and pay due attention to the horse’s nutrition. “I ask my clients about their bodywork team — their chiropractor and their acupuncturist,” says Dr. Williams. “These are specialists that can help these horses be managed in between treatments.” One such expert is Dr. Melinda Story who, aside from being a high-level sport horse veterinarian, is also a licensed and practicing equine acupuncturist and chiropractor. “I believe in a multimodal approach for helping these types of cases,” says Dr. Story of Kissing Spines patients. After breaking the pain spasm cycle, Dr. Story uses acupuncture as one of her first-line therapies and as part of a long-term management plan, along with Platinum Longevity® to support a more normal inflammatory response. “I use acupuncture along with strengthening and mobilization to keep these horses comfortable and, as part of a global approach, use nutrition, integrative pain management and strengthening.”

In terms of nutrition, veterinarians value both diet and advanced nutritional formulas as playing a critical role in the horse’s overall wellness and ability to heal and maintain muscle. “We examine the horse’s diet as a critical part of that inflammatory process, and we’ll make changes to each individual case as necessary We may also need to counsel the rider about the necessity for weight loss in the horse,” explains Dr. Allen. “It really does all start with good nutrition,” agrees Dr. Story. “I believe the diet is a very big component when keeping any athlete performing but especially when there is any type of injury or underlying condition. I use Platinum Performance® CJ to support the health of the horse as a whole, as well as all of the synovial structures. Keeping the joints healthy and moving correctly is so important for proper biomechanics. Platinum Longevity® is one of the products that I am very quick to recommend anytime I have a horse with axial skeleton discomfort or dysfunction. I really believe it supports these horses. Lastly, if there is an underlying inflammatory state in the body, getting the horses comfortable and on the road to recovery is very difficult. As a first step, I want to make sure that metabolically the horse is in a healthy place, which usually includes starting them on Platinum if they aren’t already,” she explains of her approach.

At Texas Equine, Dr. Honnas includes nutrition as part of his approach to treating the whole horse not simply the injury or condition at hand. “When we operate on a horse that has a good nutritional foundation, we find that supports the healing process as well as muscle tone. Good nutrition has a systemic effect,” he explains. Dr. Williams agrees and considers nutrition a passion area in his practice. “I’ve always had a love of nutrition and an appreciation for how much of a role it plays in the health of the whole horse. I’m also a real big evaluator of metabolic issues in horses, and I see a lot of cases that have either borderline or blatant metabolic issues. They carry way too much weight. Weight plays into a lot of problems, but it can directly impact the back.” Aside from recommending a more natural diet based on high-quality forage with limited or low-starch and low-carbohydrate grains and concentrates, Dr. Williams recommends Platinum Performance. “I am a huge believer in Platinum. I’ve used Platinum as either a grain replacement for a lot of the metabolic cases we deal with or I’ll combine it with low-starch or low-carb feeds. For a lot of our other cases, we’ll see what issues we’re dealing with and then add the appropriate Platinum product into our treatment protocol,” he explains. “It’s about helping these horses, and I whole-heartedly believe Platinum does that.”

horse eating grass
“I've always had a love of nutrition and an appreciation for how much of a role it plays in the health of the whole horse. I’m also a real big evaluator of metabolic issues in horses, and I see a lot of cases that have either borderline or blatant metabolic issues. They carry way too much weight. Weight plays into a lot of problems, but it can directly impact the back.”
— Cooper Williams, VMD, DACVSMR, ISELP, Equine Sports Medicine of Maryland

Looking Ahead

Kissing Spines is a condition once synonymous with frustration and mystery, often involving ambiguous clinical signs without a concrete diagnosis, treatment plan or road map for successfully returning horses to work pain-free. Today, thanks to the work done by Drs. Honnas, Story, Williams, Allen and their colleagues, Kissing Spines is emerging from the unknown and becoming more widely diagnosed and treated with successful medical and surgical protocols. “I’ll tell you that there have been countless horses for eons of years that have been wasted because nobody knew the back was the issue, and nobody knew how to fix it,” says Dr. Honnas of the mystery cases involving severe undiagnosed behavioral and lameness issues. It’s ironic that veterinary medicine is now at a place where, thanks to advanced diagnostic imaging and better-recognized clinical signs, Kissing Spines has risen exponentially as a diagnosis. “As veterinarians, we can always educate ourselves further, as well as educate owners and riders about what to look for,” says Dr. Allen. “Our diagnostics can improve. I’d like to get to the day where we can draw blood, look at genetics and determine a horse’s predisposition for Kissing Spines, allowing us to watch for it much more closely before clinical signs ever appear. Treatments still vary widely as well, and veterinarians still may not be focusing like they should on the muscle and its importance in getting these horses moving again. They need to get back to work. They need to not sit in the pasture or on stall rest, that’s not going to be effective. It’s going to cause more muscle loss, and that muscle is hard to get back once you’ve lost it. The rehabilitative process is critical for these horses,” he says with conviction. Dr. Williams agrees of course, as a skilled horseman, former 5-goal professional polo player and a man who has dedicated so much of his professional life to establishing a solid place for veterinary-directed rehabilitation in veterinary medicine. “We need to define a lot of the protocols that we use in rehabilitation of sport horses. One of the things about the college is that we’re really trying to define a certain set of protocols for individual conditions,” he says of the important work of the ACVSMR.

Perhaps one of the reasons Kissing Spines has an element of both challenge and reward for veterinarians is the sometimes difficult road to diagnosis and the extremely individualized course of treatment for each patient. Equine veterinarians quite literally live their profession. It’s rooted in their soul, and it isn’t simply the science and the problem-solving nature of the work that holds their passion. It’s the horses themselves and the people that love them. “I like helping horses compete at their peak and their owners achieve the goals they’ve made for themselves,” says Dr. Honnas. As a born horseman, Dr. Allen shares those feelings of commitment, responsibility and genuine love of his patients and clients. “Where I am today started with a love of the horse as a young kid and then transformed into loving the science of veterinary medicine,” he remembers. “That evolution happened because I started seeing problems that I couldn't resolve, then I started wondering why that was. I was lucky enough to have my dad to turn to, who was a prominent horse veterinarian. I kept questioning things and found incredible mentors over the years that helped me learn to work through the conundrums I couldn’t solve until I could.” The back was one of these conundrums. The senior Dr. Allen taught his son to never stop asking questions and not to rely on doing things the way he was taught but rather always to look for a better way. “Luckily no one stopped answering those questions and teaching me that there’s always a better way to do things. We just may not have thought of it yet.” As more questions are asked and answered through emerging research and advancements in clinical practice, perhaps we’ll see evolving clarity and more clearly defined treatments and rehabilitation techniques surrounding Kissing Spines, making it an enigma no more.

by Jessie Bengoa,
Platinum Performance®

You May Also Like

Equine Joint File

Supporting The Equine Joint

Efforts to keep joints healthy, sound and functioning are at the forefront of the care and management of every horse

Read More
riding horse in barn

In Motion

Choosing the Right Equine Joint Support.

Read More
horse surgery

Connectivity

Tendon and Ligament Injuries in the Horse

Read More